History Is Made At 2022 Bafta Awards administrator2022-03-18T09:13:17+00:00March 18th, 2022| Read More
Preparations Take Place To Help Celebrate Holi administrator2022-03-12T08:54:25+00:00March 12th, 2022| Read More
Russian Athletes Banned From Paralympic Games administrator2022-03-10T09:18:09+00:00March 10th, 2022| Read More
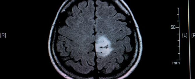
Events Lined Up For Brain Tumour Awareness Month administrator2022-02-25T10:04:00+00:00February 25th, 2022| Read More
Manchester Boy Selected For GB Roller Hockey Team administrator2022-02-24T09:50:00+00:00February 24th, 2022| Read More